The World Of Gynecologic Endoscopy
Endoscopy means “looking inside”. Gynecologic (study of the female body) surgery has been revolutionized by the advent of endoscopy in the last four decades. Starting with simple surgeries like tubal sterilization which changed the face of the family planning program in India we have progressed to performing complex surgeries such as hysterectomy and surgery for gynecological cancers.
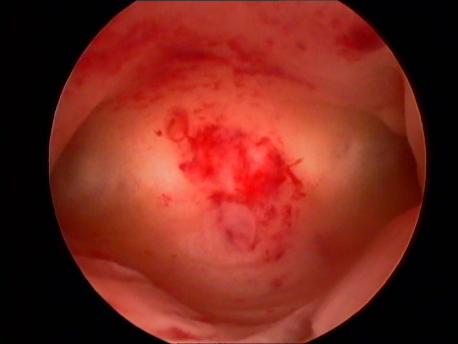
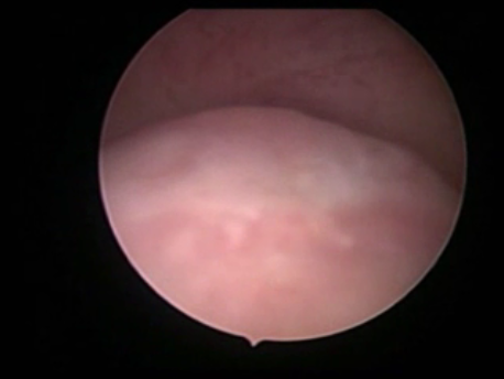
Endoscopy involves placing a small telescope into the human body through tiny incisions (3-5mm). The telescope can be placed into the abdomen via small tubes called ports (laparoscopy) or inside the uterus through the mouth of the uterus or cervix (hysteroscopy).
Various fine and delicate instruments are available through which complicated surgeries can be performed inside the abdomen or the uterus. In fact, endoscopic surgery has become the gold standard of surgery today. Since most of these instruments are being manufactured locally, the cost of endoscopy has also reduced significantly since its advent in the eighties.
However, endoscopy involves significant amount of instrumentation. This requires the doctor to acquire special skills and expertise in the subject.























