Advanced Colposcopy in Mumbai, India

What is colposcopy?

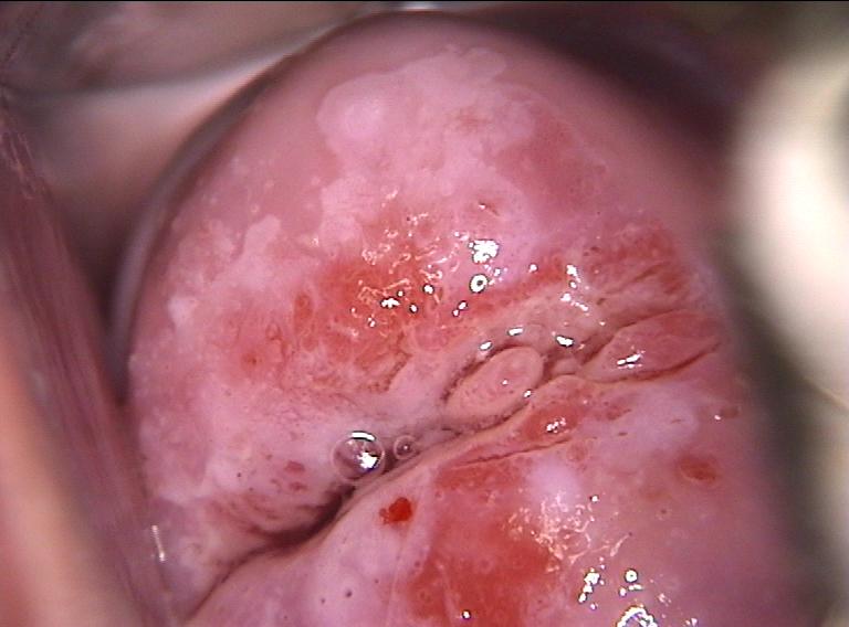
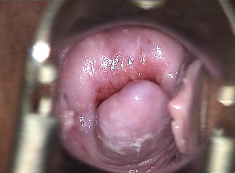
Colposcopy is a gynecological procedure that illuminates and magnifies the vulva, vaginal walls, and uterine cervix (mouth of the uterus) in order to detect and examine abnormalities of these structures.

When is colposcopy performed?

Colposcopy is performed in one of two circumstances: to examine the cervix either when the result of a Pap smear is abnormal, or when the cervix looks abnormal during the collection of a Pap smear. Even if a Pap smear result is normal, colposcopy is ordered when the cervix appears visibly abnormal to the clinician performing the Pap smear. The purpose of the colposcopy is to determine what is causing the abnormal looking cervix or the abnormal Pap smear so that appropriate treatment can be given.

Colposcopy

How is colposcopy performed?

A colposcope is a microscope that resembles a pair of binoculars. The instrument has a range of magnification lenses. It also has color filters that allow the physician to detect tiny abnormal blood vessels on the cervix. The colposcope is used to examine the vaginal walls and cervix through the vaginal opening.

  • The first step of the procedure is examining the vulva and vagina for signs of genital warts or other growths. (Genital warts are caused by the human papilloma virus (HPV), which is a sexually transmitted virus that causes cervical cancer).
  • A Pap smear is then taken.
  • The cervix is inspected and special tests are performed.

Colposcopy is a safe procedure with no complications other than vaginal spotting of blood.

The examiner wants to get a good look at the squamocolumnar junction, which is the area of the cervix that gives rise to most cases of cervical cancer. The term squamocolumnar junction refers to the border between the two different types of cells (squamous cells and columnar cells) that normally form the lining of the endocervical canal. (This canal connects the cervix with the main part of the uterus.) Most cases of cervical cancer originate from the squamous cells and, therefore, are referred to as squamous cell cervical cancer.

Which special tests are performed during colposcopy?

Three special tests are done during colposcopy: acetic acid wash, use of color filters, and sampling (biopsy) of tissues of the cervix.

1. Acetic acid wash

After the cervix is studied with the colposcope, the cervix is washed with a chemical called 3 – 5% acetic acid. The acetic acid dissolves mucus and stains the abnormal areas white. (acetowhite lesions). Staining with a dilute iodine solution (known as Lugol's solution or Schiller's solution) is also performed to further examine for abnormalities. Normal cells will generally take up the iodine stain (and turn brown) in a uniform manner, whereas severe precancerous and cancerous areas will not.

2. Use of color filters

Color filters help the physician examine tiny blood vessels (capillaries) in the area of the squamocolumnar junction. Blue or green filtered light can cause abnormal capillaries to become more obvious, usually inside an acetowhite area. Normal capillaries are slender and spaced out evenly. In contrast, abnormal capillaries can appear as red spots (thickened capillaries seen on end) or can produce a pattern resembling hexagonal floor tiles.

3. Biopsy of the cervix

Colposcopy allows tissue sampling (biopsy) that is targeted to the abnormal areas. In fact, the biopsy of abnormal areas is a critical part of colposcopy because treatment will depend on how severe the abnormality is on the biopsy sample.

Based on the colposcopy results, what is the approach to treating cervical abnormalities?

If the biopsy results show pre-cancer (dysplasia) or cancer, treatment is recommended. The dysplasia may be mild, moderate, or severe. Almost all women with dysplasia can have their treatment procedures performed in the doctor's office. The physician chooses between two general types of treatment. The first type is destruction (ablation) of the abnormal area, and the second type is removal (resection). Both types of treatment cure 90% of patients with dysplasia, meaning that 10% of women will have a recurrence of their abnormality after treatment. Generally, destruction (ablation) procedures are used for milder dysplasia and removal (resection) is recommended for more severe dysplasia or cancer.

The destruction (ablation) procedures are electroablation and cryocautery. The removal (resection) procedures are loop electrosurgical excision procedure (LEEP), cold knife conization, and hysterectomy.

What should a patient expect from each of the treatments for cervical abnormalities?

1. Electrocauterization

This procedure ablates the abnormal areas with a ball electrode. A substantial amount of clear vaginal discharge and spotting of blood can occur for a few weeks after the procedure. To improve healing, sexual intercourse and tampon use should be delayed for several weeks.

2. Cryocautery

Cryocautery is a relatively simple procedure that uses nitrous oxide to freeze the abnormal area. This technique, however, is not optimal for large areas or areas where abnormalities are already advanced or severe. After the procedure, patients can experience a significant watery vaginal discharge for several weeks. To improve healing, sexual intercourse is best avoided for several weeks.

Significant complications of these procedures are rare and occur in about 1% of patients. They include narrowing (stenosis) of the cervix and delayed bleeding. Cryocautery and electrocautery do not allow sampling of the abnormal area and are inappropriate for women with advanced cervical disease.

3. Loop electrosurgical excision procedure

Loop electrosurgical excision procedure, also known as LEEP, uses a radio-frequency current to remove abnormal areas. It has an advantage, therefore, over the destructive techniques (CO2 laser and cryocautery) in that an intact tissue sample for analysis can be obtained. LEEP also is popular because it is inexpensive and simple. Vaginal discharge and spotting commonly occur after this procedure. Sexual intercourse and tampon use should be avoided for several weeks to allow better healing.

Complications occur in about 1% to 2% of women undergoing LEEP, and include cervical narrowing (stenosis) and bleeding. This procedure is used most commonly for treating dysplasia, including severe dysplasia. LEEP also is used, although infrequently, to treat carefully chosen cases of cervical cancer.

4. Cold knife cone biopsy (conization)

Cone biopsy was once the major procedure used to treat cervical dysplasia, but the other methods have now replaced it for this purpose. However, when a physician cannot view the entire area that needs to be seen during colposcopy, a cone biopsy continues to be recommended. Complications of this procedure include postoperative bleeding in 5% of women and narrowing of the cervix. Cone biopsy has a slightly higher risk of cervical complications than the other treatments. This procedure is occasionally used to treat carefully chosen cases of cervical cancer.

5. Hysterectomy

Hysterectomy is the surgical removal of the uterus. This operation is used to treat virtually all cases of invasive cervical cancer. Sometimes, a hysterectomy is done to treat severe dysplasia. It is also used if dysplasia recurs after any of the other treatment procedures.